(502) 2363-5595
, 2333-7120, 2333-7236
info@ortodonciagt.com
Inicio
Quiénes Somos
Especialistas
Tratamientos
Galería de Fotos
Contáctenos
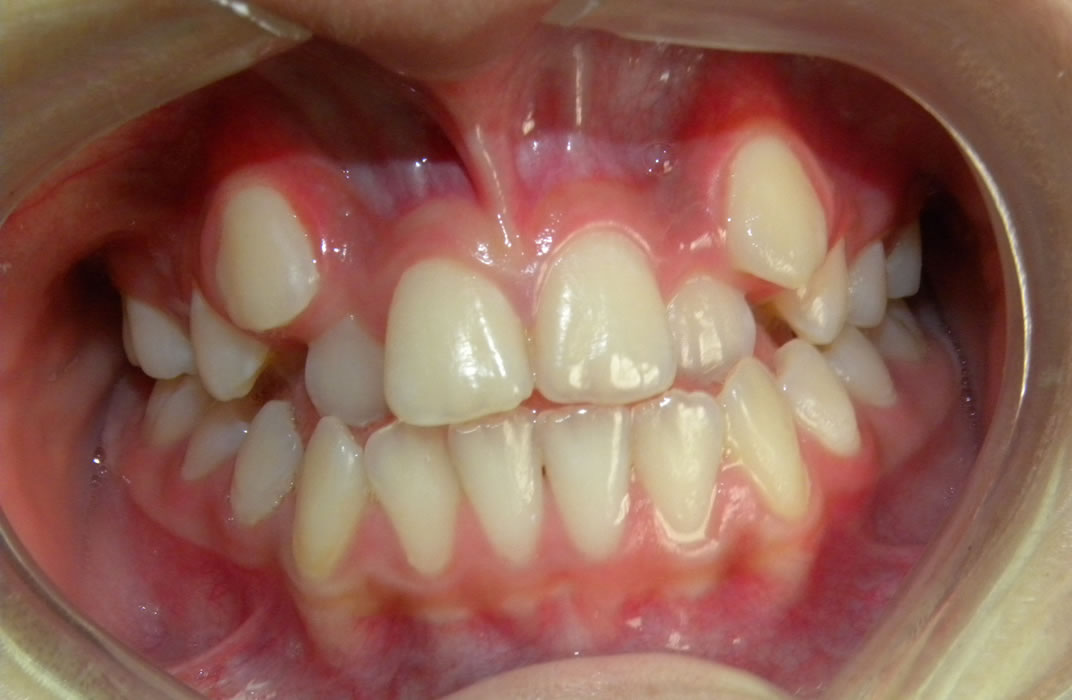
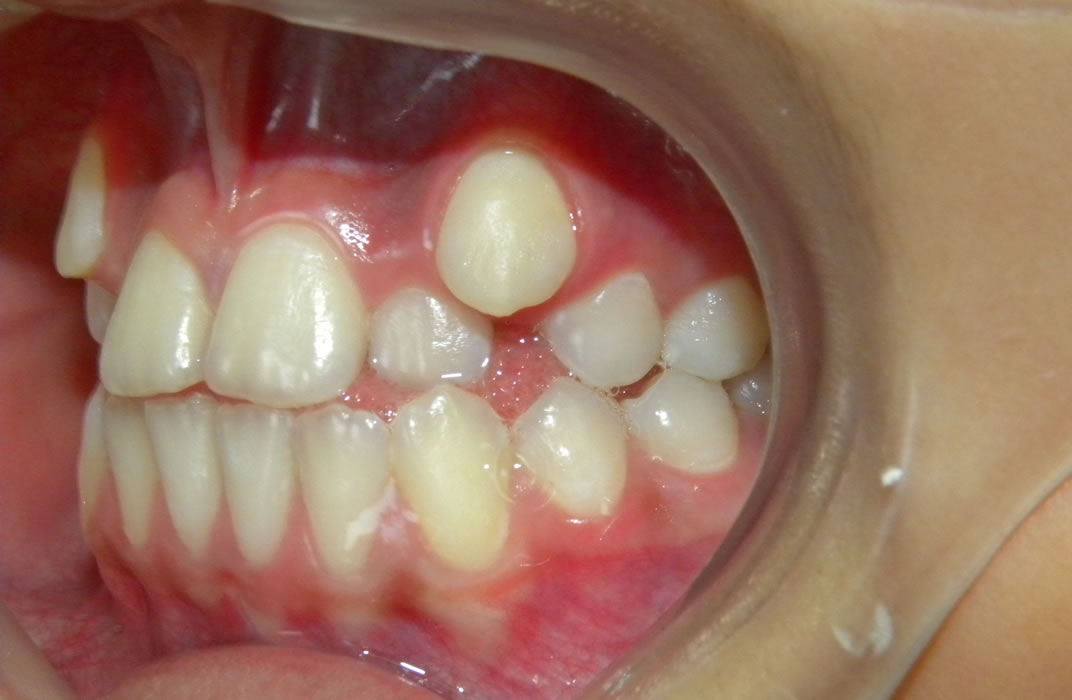
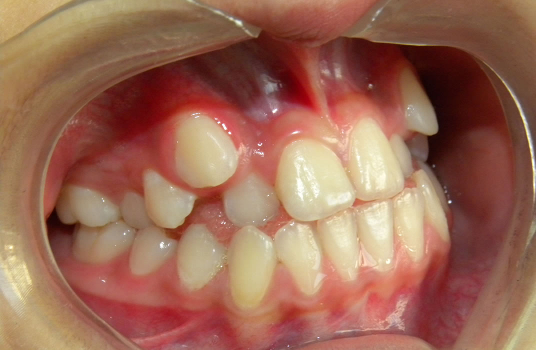
Fotos Malposiciones Dentales